Superação: Vovó de 84 anos revela como conseguiu se livrar das dores nas articulações e correr uma maratona de 42 km.

Maria de Fátima quando ela decidiu procurar algo diferente dos tratamentos convencionais. Hoje ela realizou o seu sonho de correr e conta em detalhes como qualquer pessoa pode se livrar de toda a dor no corpo e nas juntas mesmo que seja de idade.

Por Carolina Dantas
02/01/2022 16h58  | Atualizado em:

Maria de Fátima participou de 11 maratonas nos últimos 2 anos, conquistou 2 troféus e 8 medalhas em competições internacionais. Aos 84 anos, Maria de Fátima é mais enérgica, ativa e saudável do que muitos homens e mulheres de 30 anos.

Mas acredite, a sua saúde nem sempre foi tão boa assim.

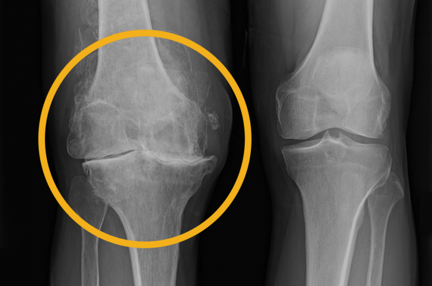
Aos 40, começou a sofrer de dores nas articulações. Aos 42 anos já havia recebido vários diagnósticos: osteocondrose, ciática e artrite.

Aos 68 anos, ela ficou incapacitada e foi diagnosticada com coxartrose do quadril.

As suas articulações estavam quase completamente desgastadas, e ela se movia com
muita dificuldade e apenas com a ajuda de uma bengala.
Então, um ano depois, ela acabou indo parar em uma cadeira de rodas. E ter que se mover através de uma cadeira de rodas para sempre é ruim.

“De acordo com a Organização Mundial da Saúde cerca de 91% de outras doenças se
desenvolvem após os 30 anos de idade através de uma inflamação nas articulações.”.


Articulações danificadas são responsáveis por até 91% de todas as doenças perigosas, desde distúrbios intestinais até derrames e ataques cardíacos.

Maria de Fátima quase foi uma das vítimas, mas conseguiu dar a volta por cima e impressionar a todos com sua história.

Os médicos ficaram espantados com a saúde restaurada de Maria de Fátima

Maria de Fátima conta que sua aposentadoria por invalidez não era suficiente para comprar seus remédios caros. Então ela decidiu dar a volta por cima recuperar a suas articulações e aliviar as dores por todo o seu corpo.

Após 2 anos teve o sucesso do processo de reabilitação e aos 70 anos já não era deficiente.

Isso é incrível, mas o mais surpreendente é que, aos 84 anos, Maria de Fátima estava disposta a correr de verdade.

Ela realizou o seu sonho: Correu uma maratona difícil de 47 quilômetros e ganhou a copa internacional.

Como ela conseguiu restaurar completamente a saúde de suas articulações e ganhar o troféu e o respeito apesar da sua idade?

Se você tem mais de 30 anos e sofre com dores nas juntas, nas articulações e no corpo, fique aqui e descubra como Maria de Fátima se livrou de toda dor e conquistou todo o respeito e admiração das pessoas mesmo pertencendo a terceira idade.

Repórter: Sra. Maria de Fátima, a primeira pergunta é:

Como você se sente cheia de energia, vital e saudável e até ganhando tantas
premiações, mesmo sendo da 3ª idade?
Conta pra gente qual é o seu segredo?

Maria de Fátima: Sinceramente, nem sempre fui assim. Trabalhei a vida toda em uma indústria como costureira, e ficava sentada com as costas curvadas 8 horas por dia, com uma carreira longa de 25 anos.

Aos 42 anos cheguei ao ponto mais crítico de não conseguir me deitar, acabei sendo internada no hospital onde fui diagnosticada com osteocondrose de quarto grau.

Nesse ponto eu já tinha artrite e dor no quadril também. Depois de apenas um ano, eu não conseguia nem andar sem o uso de uma bengala, depois de mais três meses me encontrei em uma cadeira de rodas.

O médico me receitou diversos remédios. Perdi as contas do quanto eu gastei. Mas tudo isso só me ajudou por um tempo.

Assim que eu me esquecia de uma dose, quase imediatamente sentia dores fortes que às vezes me faziam perder a consciência.

Com todos esses remédios, posso dizer que foi um desperdício de dinheiro, minhas juntas e articulações estavam doendo na mesma intensidade de quando eu comecei a tratar.

Repórter: Mas por que você acha que os médicos estão escondendo a verdade sobre esse método de reparar articulações e prolongar a vida? Ou isso é um boato de uma
conspiração?

O desabafo que mudou a sua vida após anos sofrendo com dores crônicas

Maria de Fátima: Quem se importa com os idosos? A verdade é que os idosos são considerados um fardo para a sociedade.

Não vale a pena cuidar deles e prolongar a vida deles, porque quanto mais nós vivemos, mais o país tem que arcar com nossos custos e também pagar nossa aposentadoria.

Os idosos são um prejuízo para qualquer economia. E por isso que ninguém pensa em prolongar a nossa vida. As farmácias vendem seus remédios em belas embalagens e prometem milagres, mas na verdade sabemos que não traz resultados reais.

“Eu já havia tentado de tudo”, diz Maria de Fátima.


Gastei muito dinheiro em remédios e médicos. Imagine quantos pacientes existem
como eu, todos eles gastam muito dinheiro em remédios e médicos.
Portanto, não é bom para os ricos que os farmacêuticos nos tratem da maneira correta,
porque se as pessoas ficarem bem, elas não ganham mais dinheiro.
É muito mais lucrativo nos vender os remédios ineficazes que só ajudam por um
período curto de tempo. Não é mesmo?
Queremos viver o maior tempo possível, mas ninguém mais quer, então temos que
cuidar de nós mesmos. Tomar as pílulas que os médicos prescrevem não é a melhor
opção.
Se queremos viver mais e aproveitar a vida, só há uma solução.

Surge uma nova esperança

Eu provavelmente já teria morrido de dor, se não fosse por minha neta querida. Seu marido trabalhava no centro científico.

Ele me disse que só iria parar de sentir dores quando eu reparasse as articulações destruídas, eu teria que normalizar o equilíbrio do líquido sinovial, e para isso era necessário limpar a linfa.

Siga esses 3 simples passos e se livre das dores

● Limpar o sistema linfático;
● Restaurar o equilíbrio do líquido sinovial;
● lubrificar as articulações limpas;

Depois de receber conselhos do marido da minha sobrinha, fiquei muito nervosa porque nenhum médico tinha me dito isso antes.

Então é assim que surgem essas dores. Se você não resolver o problema a tempo, pode causar lesões e doenças graves nas articulações.

Deu um pouquinho de trabalho, mas eu segui todos os 3 passos ao decorrer dos dias. Imediatamente após seguir o conselho. Sabe o que aconteceu?

O resultado?

Depois de 6 meses eu saí da minha cadeira de rodas, depois de um ano me recuperei completamente!

Além disso, fui liberada para praticar esportes. E aos 70 comecei a correr, aos 84 anos, corri a maior maratona internacional de mais de 40 km e conquistei o 1º lugar.

Disputei com pessoas até mais jovens do que eu. Não muito tempo atrás eu estava sentada em uma cadeira de rodas e estava prestes a morrer de dores, mas depois de apenas dois anos me vi de pé novamente e com uma taça levantada, cercado por centenas de admiradores.

Repórter: A sua história é incrível! Te admiro muito por essa coragem. Você é uma mulher muito forte.

Na realidade, conseguir isso agora é muito mais simples. Antes, as pessoas tinham que coletar ou encomendar ervas especiais, preparar a solução, e limpar as articulações por meses (demorei quase 6 meses para fazer a
primeira limpeza!).

Mas agora não é mais necessário fazer tudo isso, pois o procedimento de recuperação já inclui todas as etapas. Em apenas 1 mês você vai estar novinho!
Hoje já existe um excelente tratamento natural que já combina todos os elementos para uma recuperação completa, ele se chama Curcumy.

Eu recomendo que você faça a sua parte de tomar ele todos os dias com um compromisso com a sua nova vida restaurada.

E esqueça a dor nas articulações, você vai estar ativa e feliz. Acredite, eu já passei
por isso e sei como é.

É melhor do que se sentir um velho vivendo seus últimos anos de vida sofrendo!

O método da maratonista aposentada realmente é eficaz? Colocamos o Curcumy a prova!

Antes de publicar este artigo para nossos leitores, convidamos um famoso cientista, o chefe do Centro Japonês de Desenvolvimento de Biotecnologia, Dr. Hiroki Toyosaki para dar o seu depoimento.

As gotas são a chave para a nossa saúde. A quantidade necessária de líquido é a proteção e lubrificação contra a rigidez prematura dos discos articulares.
Para falar a verdade, só agora que os médicos estão vendo a importância da limpeza e a restauração. E afirmam que devem se tornar procedimentos obrigatórios para todas as pessoas com mais de 40 anos.

O óleo Curcumy ajuda especialmente os idosos com um sistema imunológico enfraquecido. Principalmente se essa pessoa possui ou já fez um trabalho pesado
alguma vez na vida.

Não é milagre

Ao contrário de outras soluções no mercado, o Curcumy não promete milagre, e sim é um tratamento que segue um processo. Maria de Fátima teve que fazer o papel dela, e hoje desfruta de uma nova vida segura e sem dores ao lado de sua família.

Hoje o Curcumy é considerado o produto mais eficaz para terapia e reparação articular.

O óleo em gotas Curcumy contém 7 combinações de ingredientes premium para
limpar e restaurar o equilíbrio de suas juntas e articulações.

Antes de adquirir, leia isso!

Após informarmos a empresa sobre nossa matéria sobre o Curcumy , eles nos disponibilizaram um super desconto apenas para nossos leitores. Eles nos deram 70% de desconto para os primeiros 100 leitores que adquirirem no botão abaixo.

E além desse desconto especial, eles nos informaram que o Curcumy tem uma garantia blindada de 90 dias.

Se você não sentir efeitos, pode enviar um email ou entrar em contato com o whatsapp que eles devolvem cada centavo. 

Eles só disponibilizam essa garantia por um tempo longo porque sabem que o produto realmente funciona.

Veja quais são os beneficios que o Curcumy vai trazer para a sua vida

Graças à sua fórmula científica, o Curcumy é eficaz no tratamento de várias doenças articulares como:

● Artrite;
● Artrose;
● Gota;
● Osteoartrite;
● Bursite;

● Osteocondrose;
● Osteoporose;
● Patologia Miotendínea;
● Ligamentite;
● LER (Lesão por Esforço Repetitivo);

NOTA IMPORTANTE: Segundo o fabricante, o Curcumy só pode ser adquirido através do site oficial e não é vendido em farmácias. Segundo a empresa, isso ocorreu porque o principal fornecedor de produtos químicos do Brasil não mediu esforços para garantir que o produto não fosse vendido em farmácias físicas. Então, enquanto o Curcumy não está disponível, você pode comprá-lo no site oficial.
 

Garantia

Além disso, o Curcumy confia tanto no seu produto, que oferece uma garantia de 100% de satisfação, ou seja, o cliente pode testar o produto por 90 dias e se não gostar, basta entrar em contato com a empresa por e-mail ou Whatsapp e solicitar a devolução integral do dinheiro pago. Risco zero para o consumidor.

Aproveite somente hoje desconto de até 40% + Frete Grátis a partir de agora!

O nosso portal reservou alguns frascos de Curcumy para nossos leitores.

Você ganha até 40% de desconto + Frete Grátis e pode parcelar em até 12x. Atenção essa promoção é de lançamento, válida apenas enquanto durar o estoque.

Tenha vantagem com nosso link exclusivo e ganhe até 40% desconto e parcelamento em até 12x clicando no link abaixo:

108 COMENTÁRIOS

Os comentários são de responsabilidade exclusiva de seus autores e não representam a opinião deste site. Se achar algo que viole os termos de uso, denuncie. Leia as perguntas mais frequentes para saber o que é impróprio ou ilegal. 

Marcelo Alencar

Há 1 dia

Sinto muitas dores no dia-a-dia, e não gosto de viver assim. Quero muito comprar
esse produto como faço?

Vinicius Sadios

Há 1 dia

Meu pai vive reclamando de dor nas articulações, vejo o sofrimento dele e quero ajudar ele a sair dessa vida triste, comprei esse produto tem poucos dias mas ele já tomou por 2 semanas e realmente já vemos a diminuição das dores, a experança dele aumentou muito!

Maria Antonia

Há 3 dias

Tenho Bursite, eu tomava 3 tipos de remédio todos os dias, mesmo assim nunca deixei de sentir dor, conheci Curcumy pela internet e resolvi ariscar, comprei 3 frascos e começei a tomar, tem pouco mais de 2 meses e minha vida mudou muito, minhas dores praticamente sumiram, me sinto mais disposta e cada vez melhor.

Augusto Ferreira

Há 1 dia

Tenho Gota e já não aguento mais tantas dores, comprei o produto e não vejo a hora de começar a tomar.

Este conteúdo não recebe mais comentários

© Copyright 2000-2022 Globo Comunicação e Participações S.A.